|
牙痛难忍,最终只能拔牙?这个病例告诉你及时就医的重要性!
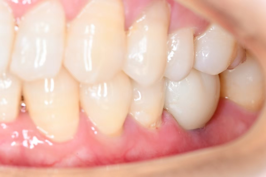
牙痛难忍,最终只能拔牙? 这个病例告诉你及时就医的重要性! 你是否经历过牙齿隐隐作痛,连吃饭都成了煎熬?最近,一位患者就因左下后牙持续疼痛一周,不得不紧急就医。他的经历或许能给你提个醒:牙齿问题,千万别拖! 最近我院修复科张帅医生团队接到一位患者,患者主诉左下后牙胀痛一周,尤其是吃东西时疼痛加剧,严重影响生活。虽然平时身体健康,也没有过敏史,但这次牙痛实在扛不住了,赶紧来医院求助。 检查结果:牙齿“病入膏肓” 医生检查发现,患者左下第6颗牙(俗称“大牙”)情况很不乐观: 金属牙冠松动:这颗牙曾做过金属牙冠修复,但现在摇摇欲坠(松动程度达III级,几乎快掉下来) 牙龈发炎:牙冠边缘的牙龈红肿,轻敲牙齿还会痛。 X光片“透心凉”:拍片显示,牙根周围有大片阴影,说明内部感染严重,甚至可能波及牙槽骨。 患者初诊时x线片 由于感染范围过大,该牙已失去保留价值,建议患者及时拔除,3月后行种植修复,患者同意该诊疗。当日拔除该烂牙,并于3月后进行了种植修复治疗。 患者种植完成后的口内照及x线片 关于种植牙,你最关心的5个问题 1.种牙是不是很疼?像拔牙一样可怕吗? 种牙手术全程会打麻药,过程中几乎感觉不到疼痛,术后可能会有轻微胀痛(类似拔牙后),但远比你想象中轻松! 2.种植牙为什么那么贵?是不是在收智商税? 种植牙贵在“材料+技术”的双重保障: 材料:种植体(人工牙根)多是纯钛材质,与人体相容性好,能用几十年不腐蚀。 技术:医生需要精准计算角度、深度,避开神经血管,相当于“在方寸之地盖高楼”。 种植牙就像买手机,山寨机便宜但用不久,原装贵在系统流畅、寿命长。种牙是“一次花钱,长期受益”。 3. 种植牙能用一辈子吗?会不会用几年就坏了? 种植牙的10年成功率超过95%,但能否用一辈子,关键看两点: 医生技术:种的位置和角度精准,避免受力不均; 日常维护:像真牙一样刷牙、用牙线,定期洗牙检查。 4.种一颗牙要多久?需要请假很多次吗? 常规流程需要3-6个月(分3步): 检查+方案设计(1周):拍CT、抽血化验; 植入种植体(30分钟/颗):种完就能回家; 戴牙冠(3-6个月后):等种植体和骨头长牢固。 5.牙齿缺失后需要尽早种植吗? 一般情况下,缺牙后3个月可进行种植修复,而缺牙不补,会导致问题越拖越大: 邻牙倾斜:缺牙区两侧牙齿向空隙倒伏→失去修复空间,牙缝变大→易塞牙、蛀牙。 对颌牙伸长:上牙失去咬合对抗,向下生长→咬合紊乱、关节压力。 骨量流失:牙槽骨“用进废退”,长期缺牙导致骨高度/宽度不足→增加种植难度。 牙齿是陪伴我们一生的“伙伴”,别等到失去才后悔!定期口腔检查,发现问题早治疗,才能吃嘛嘛香,笑口常开~ END 稿件来源:修复科 编辑:外联部 审核:宣传组 终审:冯剑颖 |







浙公网安备 33010802010737号